インプラント症例集
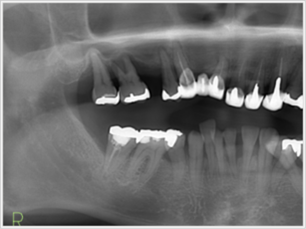
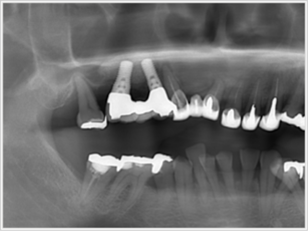
右上下奥歯1本欠損
- 治療内容
- 下はブリッジをしていた親知らずが駄目になり、当日親知らずを抜いて右下7番に1本。
上は10年ほど無く、一緒に治療をいたしました。インプラントはストローマン。
- 治療期間
- 2ヶ月間(インプラント入れてから完成まで)
- 施術の説明
- 口腔内の骨に人工の歯根を作り、その上に新しい歯を作るという方法です。
- 施術の
副作用やリスク - 炎症反応により腫れが生じることがあります。
腫れの大きさは、手術範囲や方法により異なりますが、次第に腫れが引いてくることがほとんどです。
奥歯(銀歯2本)
60万円(税込)
右上奥歯部分欠損
- 治療内容
- 右上奥が歯周病でグラグラしていたので、抜歯後インプラント治療が決定。
しかし骨が薄いため、サイナスリフト治療を開始。骨を足すこと同時にインプラントを入れております。
インプラントはストローマン。
- 治療期間
- 7ヶ月間(インプラント入れてから完成まで)
- 施術の説明
- 口腔内の骨に人工の歯根を作り、その上に新しい歯を作るという方法です。
- 施術の
副作用やリスク - 炎症反応により腫れが生じることがあります。
腫れの大きさは、手術範囲や方法により異なりますが、次第に腫れが引いてくることがほとんどです。
奥歯(セラミック2本)
80万円(税込)
+サイナスリフト
10万円(税込)
上顎全部欠損
- 治療期間
- 7ヶ月間(インプラント入れてから完成まで
- 施術の説明
- 口腔内の骨に人工の歯根を作り、その上に新しい歯を作るという方法です。
- 施術の
副作用やリスク - 炎症反応により腫れが生じることがあります。
腫れの大きさは、手術範囲や方法により異なりますが、次第に腫れが引いてくることがほとんどです。
プラスチック
・奥歯(銀歯)
計8本 240万円(税込)




